CẮT MÍ TRẺ HÓA MÍ DƯỚI
Đường mí mắt dưới mịn màng trẻ trung và có độ đàn hồi
Giải pháp trẻ hóa mí dưới cho người trung niên và vẫn giữ lại độ đầy đặn của bọng mắt cười

Surgery Information Trẻ hóa mí mắt dưới
INFORMATION SURGERY
Surgery Information
Thời gian phẫu thuật
Khoảng 1 tiếng
Phương pháp gây mê
Gây mê tại chỗ hoặc gây mê ngủ
Tới viện điều trị
2~3 lần
Thời gian hồi phục
Sau 5~7 ngày
RECOMMEND SURGERY
Recommended Candidates
1. Trường hợp mí dưới có lớp mỡ phồng lên khiến gương mặt trông mệt mỏi và dữ dằn
2. Trường hợp mí dưới có da chùng nhiều trông già nua
3. Trường hợp da mí mắt dưới không có độ đàn hồi và nhiều nếp nhăn
4. Trường hợp mí dưới có quầng thâm
CẮT MÍ TRẺ HÓA MÍ DƯỚI
Cốt lõi để có đôi mắt trông trẻ trung và đàn hồi là làm cho vùng mí dưới mắt mịn màng và săn chắc một cách tự nhiên mà không tạo cảm giác nhân tạo và gượng gạo. Cắt da chùng trẻ hóa mí dưới AB sẽ chẩn đoán chính xác tình trạng dưới mắt của từng khách hàng, bao gồm mức độ da chùng, độ đàn hồi của da và cơ, độ dày của da. Sau đó, sẽ loại bỏ lượng mỡ và da dưới mắt một cách hợp lý và cố định cơ vòng mi, cải thiện vùng dưới mắt trở nên đàn hồi, căng mịn và tràn đầy sức sống.

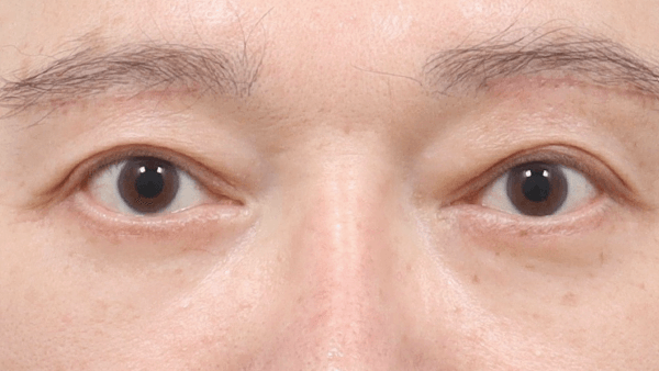
Trước phẫu thuật

Sau phẫu thuật 1 tuần

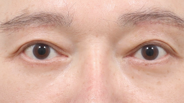
Trước phẫu thuật

Sau phẫu thuật 2 tuần
Phương pháp phẫu

01. Cắt một đường nhỏ
Cắt một đường nhỏ tối đa để bảo tồn dây thần kinh vùng quanh mi

02. Sắp xếp mỡ hoặc loại bỏ mỡ thừa mí dưới, kéo căng cơ vòng mí

03. Kéo căng cơ vòng mi và cố định lại
Kéo căng vùng cơ quanh mi bị chảy xệ theo hướng thẳng lên trên và cố định lại, đem lại hiệu quả căng da phần giữa gương mặt và giữ lại bọng mắt cười

04. Cắt bỏ phần da chùng dư và khâu lại
Xem xét lượng da thừa và cắt bỏ một cách chính xác và khâu lại, ngăn ngừa tình trạng lật mí
Cần phải chú ý không được phẫu thuật cắt da chùng mí dưới quá đà
Nếu chỉnh sửa quá đà, có thể xảy ra tình trạng mí mắt dưới bị lật ra ngoài, dẫn đến mí mắt mất tự nhiên. Tại AB, các bác sĩ sẽ loại bỏ lượng da và mỡ thừa một cách hợp lý, giúp hoàn thiện đôi mắt trẻ trung một cách tự nhiên mà không gây ra tác dụng phụ, đồng thời giảm thiểu sẹo, sưng và bầm tím, giúp bạn nhanh chóng quay lại sinh hoạt hàng ngày.
1. Cắt loại bỏ da chùng và mỡ thừa phù hợp
Bác sĩ của AB sẽ chỉ loại bỏ lượng da và mỡ thừa phù hợp với tình trạng mí mắt dưới của từng khách hàng, giúp hoàn thiện vùng dưới mắt một cách tự nhiên và mịn màng.
Giữ lại phần bọng mắt cười một cách tự nhiên sẽ tạo nên vẻ ngoài không gượng gạo.

Trước phẫu thuật

Sau phẫu thuật 1 tuần

Trước phẫu thuật

Sau phẫu thuật 1 tuần
2. Phẫu thuật ít sưng, ít bầm tím và ít sẹo
Với đường rạch nhỏ ở đường lông mi dưới và việc loại bỏ da, mỡ phù hợp với tình trạng mắt của từng cá nhân,
vết sẹo phẫu thuật, sưng và bầm tím sẽ ít và gần như không để lại dấu vết, giúp bạn nhanh chóng trở lại sinh hoạt hàng ngày.

Trước phẫu thuật

Sau phẫu thuật 1 tuần

Trước phẫu thuật

Sau phẫu thuật 1 tuần
Nếu là các trường hợp này, thì so với làm cắt da chùng mí dưới thì nên làm trẻ hóa mí dưới mini
Trường hợp thiếu độ đàn hồi mí dưới không quá nghiêm trọng
Trường hợp mỡ mí dưới mắt quá nhiều gây da chùng mí dưới
Trường hợp nhiều mỡ thừa ở mí dưới
Trường hợp ái ngại khi phải cắt rạch ở mí dưới
Khác với phẫu thuật cắt da chùng mí dưới thông thường, trẻ hóa mí dưới mini là một loại phẫu thuật không cắt bỏ da chùng mà thay vào đó là rạch kết mạc bên trong mắt để loại bỏ mỡ thừa dưới mắt. Trong trường hợp mỡ dưới mắt quá nhiều khiến bạn trông già hơn, có thể cải thiện vùng dưới mắt bằng phương pháp trẻ hóa mí dưới mini dựa trên tình trạng cơ và da.
Phương pháp phẫu thuật trẻ hóa mí dưới mini

01. Trước phẫu thuật

02. Không để lại sẹo

03. Sắp xếp lại phần mỡ thừa giúp mí dưới mượt mà hơn

04. Kéo căng cơ vòng mi làm mí dưới phẳng hơn và khâu cố định lại

05. Sau phẫu thuật

Trước phẫu thuật

Sau phẫu thuật 1 tháng

Trước phẫu thuật

Sau phẫu thuật 1 tuần
ƯU ĐIỂM ĐẶC BIỆT TẠI AB
Lý do chọn AB để cắt da chùng mí dưới
1. Ấn tượng đôi mắt tự nhiên, không tạo cảm giác nhân tạo
Phẫu thuật cắt da chùng mí dưới AB không thực hiện quá mức, giúp bạn có được vẻ ngoài trẻ trung một cách tự nhiên mà không tạo ra ấn tượng nhân tạo hay gượng gạo.

Trước phẫu thuật

Sau phẫu thuật 1 tháng
2. Khâu thẩm mỹ chắc chắn và tỉ mỉ, không lộ sẹo cho dù để mặt mộc
Đường phẫu thuật được khâu lại một cách tỉ mỉ và tinh tế, giúp giảm thiểu tối đa sẹo lồi và sẹo lồi lõm.

Trước phẫu thuật

Sau phẫu thuật 1 tuần
3. Kĩ thuật phẫu thuật của AB giúp hạn chế tối đa tái phát sinh da chùng mí dưới
Loại bỏ một cách hợp lý phần da chùng và mỡ thừa và kéo cơ vòng mi bị chùng lên theo chiều dọc và cố định chắc chắn. Điều này giúp giải quyết tận gốc nguyên nhân gây chùng và phồng dưới mắt, đồng thời giảm thiểu nguy cơ tái phát tình trạng chùng dưới mí mắt.
Trước phẫu thuật

Sau phẫu thuật 1 tuần

Sau phẫu thuật 1 tháng

4. Cải thiện mí dưới trông già nua và mệt mỏi
Do quá trình lão hóa làm mất độ đàn hồi của da và cơ dưới mắt, dẫn đến các dấu hiệu như rãnh lệ sâu, quầng thâm nặng và nếp nhăn dưới mắt, phẫu thuật cắt da chùng mí dưới sẽ giúp cải thiện một cách hiệu quả các dấu hiệu lão hóa này, tạo ra đôi mắt trẻ trung, đàn hồi và tràn đầy sức sống.

Trước phẫu thuật

Sau phẫu thuật 1 tháng

Trước phẫu thuật

Sau phẫu thuật 1 tháng
5. Giải pháp thẩm mỹ mí dưới cho người trung niên phù hợp với từng cá nhân
Chúng tôi tiến hành chẩn đoán kĩ lưỡng tình trạng của mí mắt dưới và tổng thể mắt, thiết lập kế hoạch phẫu thuật 1:1 mang lại kết quả phẫu thuật hài lòng không biến chứng.
Mức độ da chùng ở mí dưới
Mức độ đàn hồi của tổ chức cơ và da ở mí dưới
Độ dày của da
Lượng mỡ ở mí dưới
Hình dáng của mắt
Ảnh trước và sau căng da trán nội
Căng da trán
Hệ thống an toàn
Thông qua việc thiết lập các hệ thống quản lý an toàn đa dạng, bệnh nhân có thể phẫu thuật an toàn hơn.

Bác sĩ gây mê thường trú toàn thời gian
Chuyên gia gây mê theo dõi bệnh nhân theo thời gian thực trong phẫu thuật và kiểm tra đôi ba lần qua hệ thống giám sát trung tâm.

Theo dõi thời gian thực trong gây mê
Toàn bộ quá trình phẫu thuật từ trước, trong và sau được quản lý theo thời gian thực với bác sĩ gây mê toàn thời gian.

Kiểm tra sức khỏe an toàn trước phẫu thuật
Để phẫu thuật an toàn hơn, chúng tôi có hệ thống kiểm tra nội viện và thực hiện kiểm tra toàn diện trước mổ.

Thiết bị an toàn tiêu chuẩn cao
Thông qua việc thiết lập các hệ thống quản lý an toàn đa dạng, chúng tôi đảm bảo bệnh nhân có thể phẫu thuật an toàn và yên tâm.





















