Giải pháp thẩm mỹ trẻ hóa mí mắt cho người trung niên, diện mạo trẻ trung một cách tự nhiên

Thời gian phẫu thuật
:
Khoảng 1 tiếng
Phương pháp gây mê
:
Gây mê tại chỗ hoặc gây mê ngủ
Tới viện điều trị
:
2~3 lần
Thời gian hồi phục
:
Sau 5~7 ngày
Cắt da chùng trẻ hóa mí trên
Cốt lõi của việc tạo nên đôi mắt trẻ trung là làm cho đường mí mắt đẹp tự nhiên mà không bị giả tạo. AB thực hiện phẫu thuật cắt da chùng trẻ hóa mí trên bằng cách cắt bỏ một lượng mô thích hợp để giảm thiểu sẹo và điều chỉnh độ cố định của cơ mắt. Hãy giải quyết triệt để vấn đề sụp mí mắt và hoàn thiện đôi mắt trẻ trung, xinh đẹp.
Phương pháp phẫu thuật

01. Trước phẫu thuật

02. Thiết kế trước phẫu thuật

03. Cắt đường mí mắt theo nếp nhăn ở mí trên

04. Loại bỏ da dư chùng, mỡ và cơ

05. Cố định chắc chắn kết mạc sau khi loại bỏ cơ chảy xệ

06. Khâu

07. Sau phẫu thuật

Trước phẫu thuật

Sau phẫu thuật 1 tuần

Trước phẫu thuật

Sau phẫu thuật 1 tháng
Khi thực hiện phẫu thuật cắt da chùng mí trên, cần chú ý để không tạo ra đường mí dữ dằn
Đối với đôi mắt trung niên, nếu phẫu thuật quá đà có thể làm cho mắt trông giả tạo hoặc dữ dằn, vì vậy kỹ năng và kinh nghiệm của bác sĩ phẫu thuật là vô cùng quan trọng. AB thực hiện phẫu thuật cắt da chùng mí trên bằng cách áp dụng nguyên lý của mí mắt tự nhiên, điều chỉnh độ lực mở của mí mắt phù hợp và loại bỏ mô da dư mà không để lại sẹo, mang lại đôi mắt trung niên tự nhiên và đẹp hơn.
1. Cắt da chùng trẻ hóa mí trên dựa trên nguyên lý của mí mắt tự nhiên
Nguyên lý của mí mắt tự nhiên
Nguyên lý của mí mắt tự nhiên là khi mở mắt, cơ mí mắt kéo theo da tạo thành nếp gấp và hình thành đường mí.

Phương pháp phẫu thuật cắt da chùng trẻ hóa mí trên AB
Phương pháp cắt da chùng mí trên chỉ có tại AB là phương pháp tạo đường mí bằng cách cố định nhẹ cơ nâng mi vào lớp da giống như mí mắt tự nhiên.

2. Tối thiểu hóa việc loại bỏ lượng da, lớp mỡ và cơ
Nếu loại bỏ quá nhiều da, mỡ và cơ thì mắt sẽ trông giả tạo và sắc sảo. AB sẽ loại bỏ một lượng da, mỡ, và cơ phù hợp với tình trạng mắt, giúp hoàn thiện đôi mắt mượt mà và tự nhiên.

Loại bỏ một lượng da, lớp mỡ và cơ trên mí mắt phù hợp

Hoàn thành đường mí đẹp tự nhiên trẻ trung
3. Tối thiểu hóa sẹo
Phương pháp cắt da chùng mí trên của AB điều chỉnh và cố định lực mở của mí mắt một cách phù hợp, không để lại sẹo sâu. Ngay cả khi nhắm mắt, vết sẹo sau phẫu thuật cũng không lộ rõ, giúp tạo nên ấn tượng hiền lành và dịu dàng.

Trước phẫu thuật

Sau phẫu thuật 1 tháng

Sau phẫu thuật 1 tháng

Trước phẫu thuật

Sau phẫu thuật 1 tháng

Sau phẫu thuật 1 tháng
Cho dù vậy đối với mắt trung niên, cắt da chùng mí trên không phải lúc nào cũng là giải pháp duy nhất.
Trường hợp không phù hợp để phẫu thuật cắt da chùng mí trên
Lông mày bị chảy xệ nghiêm trọng Khoảng cách giữa mắt và lông mày gần nhau
Lực mở mí mắt yếu Mắt bị nhược cơ, da chùng mí
Trường hợp chỉ tiến hành phẫu thuật cắt da chùng mí trên
Khoảng cách giữa mắt và lông mày gần gây ấn tượng dữ dằn, thiếu tự nhiên
Mí mắt che một phần lòng đen mắt khiến mắt trông buồn ngủ lờ đờ
GIẢI PHÁP TỔNG HỢP CHO THẨM MỸ MẮT TRUNG NIÊN
Thực hiện đồng thời phẫu thuật treo cung chân mày và phẫu thuật căng da trán giúp cải thiện da chùng mí mắt của khách hàng trung niên
Tiến hành đồng thời cắt da chùng mí trên và treo cung chân mày

Trước phẫu thuật

Sau phẫu thuật 3 tháng
Tiến hành đồng thời cắt da chùng mí trên và căng da trán

Trước phẫu thuật

Sau phẫu thuật 1 tháng
ƯU ĐIỂM ĐẶC BIỆT CỦA AB
Lý do chọn AB để cắt da chùng mí trên
1. Đường mí mắt duy trì lâu dài qua thời gian
Điều chỉnh mức độ cố định của cơ mí mắt (cơ vòng mi) một cách phù hợp và cố định đường mí chắc chắn, mang lại kết quả phẫu thuật lâu dài mà không bị mở ra và không để lại sẹo.

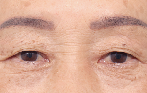
Trước phẫu thuật
Tổng thể mí mắt bị sụp, da chùng xệ cần phẫu thuật cắt da chùng mí trên

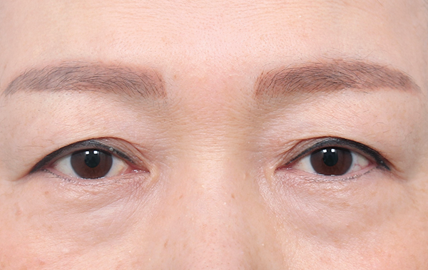
Sau phẫu thuật 1 tháng
Nhờ cố định đường mí chắc chắn nên sau 1 tháng không bị bung mí và đường mí duy trì tự nhiên

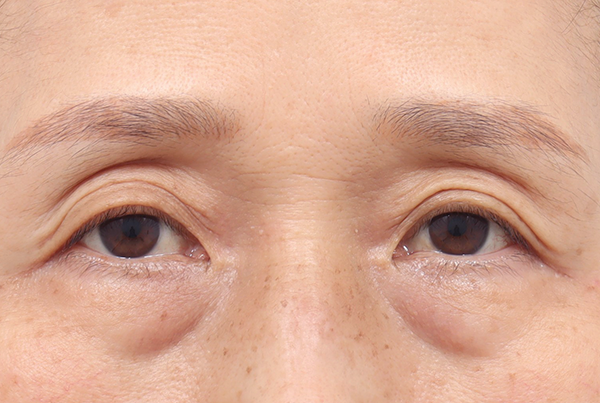
Sau phẫu thuật 6 tháng
Đường mí không để lại sẹo sau 6 tháng nhờ điều chỉnh mức độ cố định cơ mí phù hợp
2. Cải thiện đồng thời các vấn đề thẩm mỹ và chức năng của mắt thông qua cắt da chùng trẻ hóa mí mắt trên
Cắt da chùng trẻ hóa mí mắt trên AB đồng thời cải thiện các vấn đề thẩm mỹ của mắt do tình trạng sụp mí mắt cũng như các vấn đề về chức năng của mắt đi kèm

Mắt bị biến dạng thành hình tam giác do mí mắt trước và đuôi mắt chảy xệ
Trước phẫu thuật

Cải thiện vùng da nhăn nheo giúp mắt trở lại hình dáng mắt bình thường
Sau phẫu thuật 2 tháng

Mắt có lực mở yếu Khiến hơn nửa tròng mắt bị che khuất
Trước phẫu thuật

Cải thiện khả năng che mất tầm nhìn Và giúp mắt mở to hơn, tạo đôi mắt rõ ràng hơn
Sau phẫu thuật 1 tuần
3. Không ngừng nghiên cứu và phát biểu luận văn
Để nâng cao sự hài lòng và hiệu quả của phẫu thuật, chúng tôi nghiên cứu và công bố các kỹ thuật thẩm mỹ mới, đồng thời liên tục tham gia các hội thảo và hoạt động nghiên cứu để phát triển chuyên môn mang phong cách kỹ thuật của AB




4. Hệ thống phân tích chi tiết thẩm mỹ mắt trung niên
AB sẽ tiến hành chẩn đoán và phân tích chính xác tình trạng mắt của từng cá nhân trước khi phẫu thuật, chỉ lên kế hoạch cho các can thiệp cần thiết mà không phẫu thuật thừa thãi.
Trạng thái và kích thước mắt, hình dáng mắt tổng thể
Chiều rộng, chiều dài của mắt
Mức độ lộ của lòng đen mắt
Trạng thái của mí mắt
Mức độ chùng của cơ và da mí mắt
Độ dày của da
Lượng phân bố mỡ bên trong và mỡ ở trên bờ mí
Lực mở của mí mắt
Trẻ hóa mí mắt trên / mở góc mắt trong / mở góc mắt ngoài / mở góc mắt dưới / tái sắp sếp bố trí mí mắt dưới / cấy mỡ / nâng mũi [ gọt xương mũi / bóc tách mô mỡ đầu mũi ] / thu nhỏ cánh mũi
Through the establishment of various safety management systems, patients can undergo surgery more safely.

An anesthesiology specialist monitors the patient in real-time during surgery and performs double and triple checks through a central monitoring system.

The entire process of the surgery, including pre-, during, and post-surgical procedures, is managed in real-time with a full-time anesthesiologist.

For safer surgery, we have established an in-hospital examination system. This allows us to perform a comprehensive pre-operative examination.

Through the establishment of various safety management systems, we ensure that patients can undergo surgery safely and with peace of mind.
*Chủ nhật, ngày lễ: Nghỉ