Thông qua chụp X-quang và CT, phương pháp phẫu thuật được chuẩn đoán bằng cách xem xét vị trí chính xác của đường dây thần kinh và hình dạng cơ. Chiều rộng và chiều dài của cằm được thiết kế theo hình dáng mong muốn của bệnh nhân.
Cuối cùng để có một gương mặt đẹp với các đường nét có tỉ lệ hoàn hảo thì phương pháp phẫu thuật chẩn xác chính là câu trả lời. Viện trưởng khoa thẩm mỹ xương hàm mặt của bệnh viện AB sở hữu học vị tiến sĩ Y khoa tại đại học Y trực thuộc đại học Quốc gia Seoul, đồng thời với kinh nghiệm phẫu thuật phong phú cùng con mắt thẩm mỹ tinh tế trực tiếp tư vấn 1:1 và thực hiện phẫu thuật phù hợp với từng cá nhân khách hàng.

INFORMATION SURGERY
Thời gian phẫu thuật
1 tiếng ~ 1 tiếng 30 phút
Phương pháp gây mê
Gây mê toàn thân
Đến viện điều trị
1~2 lần
Thời gian phục hồi
Sau 7 ngày
RECOMMEND SURGERY
1. Trường hợp cằm ngắn
2. Trường hợp cằm không cân xứng
3. Trường hợp hàm rộng và cằm to
4. Trường hợp cằm nhô ra hoặc cằm dài
Phẫu thuật cằm
Phương pháp phẫu thuật cằm khác nhau tùy thuộc vào hình dáng cằm của mỗi cá nhân
1. Cằm rộng
Bằng cách cắt xương theo hình chữ T và loại bỏ một mảnh xương ở giữa giúp thu nhỏ bề
ngang của cằm và thấy rõ hiệu quả từ phía trước.

Trước phẫu thuật

Sau phẫu thuật 3 tháng

Trước phẫu thuật

Sau phẫu thuật 3 tháng

Bước 1. Thiết kế phù hợp
Thiết kế điều chỉnh lượng xương cần thu nhỏ dựa vào độ rộng của cằm.

Bước 2. Cắt xương
Phần xương ở chóp cằm được cắt bỏ và lấy ra thông qua một vết mổ bên trong miệng.

Bước 3. Sắp xếp bố trí xương
Giảm độ rộng của cằm bằng cách gọt các xương còn lại ở 2 bên

Bước 4. Cố định và cắt gọt đường viền cằm
Sau khi cố định xương, xương hàm bên được cắt bỏ một cách mượt mà.
2. Cằm dài
Thực hiện cắt ngang xương và loại bỏ xương ở giữa giúp thu ngắn chiều dài của cằm trước
và gọt phần đường viền hàm sao cho mượt mà đem lại hiệu quả thon gọn cằm.

Trước phẫu thuật

Sau phẫu thuật 4 tháng

Trước phẫu thuật

Sau phẫu thuật 4 tháng

Bước 1. Cắt xương
Loại bỏ xương theo chiều ngang để rút ngắn chiều dài

Bước 2. Di chuyển xương
Thu nhỏ cằm dài bằng cách đẩy xương đã cắt từ dưới lên trên

Bước 3. Cố định và cắt gọt đường viền hàm
Sau khi cố định xương, xương hàm bên được cắt bỏ một cách mượt mà.
3. Cằm ngắn
Thực hiện thu hẹp chiều rộng của cằm và di chuyển xương xuống dưới để tăng chiều dài,
vừa chỉnh sửa chiếc cằm ngắn vừa giúp gương mặt thon gọn và sắc nét.

Trước phẫu thuật

Sau phẫu thuật 1 tháng

Trước phẫu thuật

Sau phẫu thuật 4 tháng

Bước 1. Thiết kế phù hợp
Thiết kế thu nhỏ chiều rộng cằm và làm tăng chiều dài cằm

Bước 2. Sắp xếp bố trí xương
Chiều dài được tăng lên bằng cách di chuyển phần xương đã cắt xuống dưới cằm mà không cần phải loại bỏ

Bước 3. Cố định xương
Cố định hai bên lên xương còn lại để thu nhỏ chiều rộng.

Bước 4. Cắt gọt đường viền hàm
Cắt mượt mà phần xương hàm bị nhô ra *Trong quá trình phục hồi, xương sẽ lấp đầy khoảng trống.
4. Cằm lẹm
Thực hiện cắt xương chóp cằm theo chiều ngang rồi di chuyển về phía trước và cố định lại,
thấy rõ hiệu quả trượt cằm không chỉ từ góc bên cạnh mà cả góc chính diện.

Trước phẫu thuật

Sau phẫu thuật 7 tháng

Trước phẫu thuật

Sau phẫu thuật 7 tháng

Bước 1. Cắt xương
Cắt xương cằm theo chiều ngang

Bước 2. Trượt xương ra phía trước và cố định lại
Trượt xương phần đầu cằm ra phía trước và cố định xương lại
Bí quyết của AB
Nếu bạn muốn có một khuôn mặt thon gọn hơn từ phía trước thì nên phẫu thuật cằm và phẫu thuật hàm vuông cùng lúc.
Một dáng cằm đẹp được tạo ra bằng các phương pháp phẫu thuật cắt bỏ xương khác nhau tùy theo hình dáng và sở thích của mỗi người.

Chỉ thu nhỏ đầu cằm
Đường viền hàm lồi lõm và không được mượt mà

Kết hợp thực hiện thu nhỏ cằm và gọt hàm vuông
Có thể nhìn thấy đường viền hàm mượt mà và thon gọn

Chỉ tiến hành gọt hàm vuông
Đường hàm chưa đạt hiệu quả khi nhìn từ góc chính diện

Kết hợp thực hiện thu nhỏ cằm và gọt hàm vuông
Đường viền thon gọn ngay cả góc chính diện và góc bên
Không còn điểm gồ ghề nhờ sự kết hợp phẫu thuật đầu cằm và hàm vuông Tạo khuôn mặt thon gọn mượt mà, mà khôngcòn phần cằm to rộng.
Ưu điểm đặc biệt của AB
Phẫu thuật cằm, lý do chọn AB
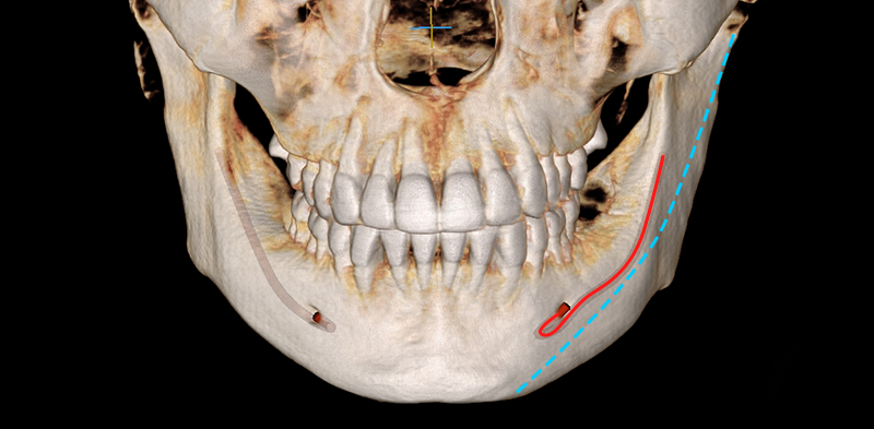
1. Thiết kế kỹ lưỡng thông qua việc xác định vị trí dây thần kinh
Sau khi xác định vị trí dây thần kinh bằng hình ảnh CT-3D, phạm vi cắt xương được lên kế hoạch để tránh chạm vào dây thần kinh khi cắt xương.

2. Xử lý đường hàm nhô ra sau phẫu thuật cắt bỏ xương
Phẫu thuật thu nhỏ hàm vuông được thực hiện cùng với chỉnh cằm, để kết nối cằm và hàm một cách mượt mà, tránh hiện tượng bị bậc thang.

3. Thiết kế phù hợp cho từng cá nhân dựa trên tổng thể khuôn mặt
Thự hiện phẫu thuật chỉnh cằm cân nhắc tới độ dài, vị trí và hình dạng đầu cằm để đảm bảo phù hợp với khuôn mặt của từng cá nhân.
Góc chính diện

Trước phẫu thuật
8 tháng
Góc 45 độ

Trước phẫu thuật
8 tháng
Góc bên

Trước phẫu thuật
8 tháng
4. Hiệu quả thon gọn ngay cả từ phía trước với giải pháp phức hợp.
Kết hợp phẫu thuật cằm và phẫu thuật góc hàm để tạo đường nét khuôn mặt thon gọn và tự nhiên từ cả hai phía, góc bên và góc chính diện

Trước phẫu thuật

6 tháng

Trước phẫu thuật

5 tháng
5. Kỹ thuật độc quyền của đội ngũ y bác sĩ AB
Chúng tôi không bỏ qua bất kỳ yếu tố nào, từ hiệu quả, an toàn đến tính thẩm mỹ. Các bác sĩ chuyên môn với nhiều kinh nghiệm trong phẫu thuật xương mặt sẽ mang lại kết quả tối ưu nhất.

Quản lý hậu phẫu sau khi phẫu thuật cằm
Giải pháp chăm sóc hậu phẫu tối ưu ngay sau phẫu thuật
Laser Smartlux

Quản lý giảm sưng, bầm tím
Sử dụng thiết bị y tế chuyên dụng LED để chăm sóc vết thương sau phẫu thuật giúp hồi phục nhanh hơn, giảm sưng và bầm tím.
Quản lý LDM

Tái tạo da và tăng cường hệ miễn dịch
Sử dụng sóng âm giúp thúc đẩy quá trình hoạt động của các tế bào da, giúp ổn định da và tăng khả năng tái tạo da.
Quản lý chiếu sóng âm cao tần

Giúp tuần hoàn máu và phục hồi nhanh chóng
Đưa năng lượng sóng âm vào sâu dưới da giúp thúc đầy tuần hoàn máu và hồi phục nhanh chóng hơn.
Bộ chăm sóc tại nhà

Chăm sóc quản lý ở nhà
Để phục hồi nhanh chóng, chúng tôi cung cấp bộ dụng cụ chăm sóc tại nhà do chính AB tự sản xuất, cho phép chăm sóc có hệ thống tại nhà.
Phẫu thuật xương hàm mặt [ Gọt hàm vuông + hạ gò má + gọt cằm vline] / nâng cơ trán / cấy mỡ mặt sau 9 tháng
Thông qua việc thiết lập các hệ thống quản lý an toàn đa dạng, bệnh nhân có thể phẫu thuật an toàn hơn.

Chuyên gia gây mê theo dõi bệnh nhân theo thời gian thực trong phẫu thuật và kiểm tra đôi ba lần qua hệ thống giám sát trung tâm.

Toàn bộ quá trình phẫu thuật từ trước, trong và sau được quản lý theo thời gian thực với bác sĩ gây mê toàn thời gian.

Để phẫu thuật an toàn hơn, chúng tôi có hệ thống kiểm tra nội viện và thực hiện kiểm tra toàn diện trước mổ.

Thông qua việc thiết lập các hệ thống quản lý an toàn đa dạng, chúng tôi đảm bảo bệnh nhân có thể phẫu thuật an toàn và yên tâm.
*Chủ nhật, ngày lễ: Nghỉ