
BUỘC CƠ NỌNG CẰM
Loại bỏ mỡ thừa và siết lại cơ bám da cổ bị chảy xệ để giúp đường viền hàm trở nên săn chắc và thon gọn hơn.
Phẫu thuật này loại bỏ mỡ vùng nọng cằm đồng thời cố định lại cơ bám da cổ bị giãn, từ đó cải thiện đường viền hàm thon gọn mà không phải bị nặng nề nữa
Buộc cơ nọng cằm là gì?
Nọng cằm, vốn khó cải thiện bằng các phương pháp tiêm hay chăm sóc thông thường, thường xuất phát từ mỡ tích tụ quá mức và cơ bám da cổ bị chảy xệ.
Phẫu thuật này được thực hiện nhằm giải quyết nguyên nhân gốc rễ đó, bằng cách loại bỏ mỡ vùng nọng cằm và buộc cơ dưới cằm, giúp cải thiện cơ đường viền hàm bị chảy xệ và ngăn ngừa hiệu quả tình trạng nọng cằm tái phát.
Tại AB, chúng tôi xác định nguyên nhân gốc rễ gây ra nọng cằm và thực hiện phẫu thuật nhằm cải thiện đồng thời ngăn ngừa tái phát
Ảnh trước và sau buộc cơ nọng cằm


Trước
Sau 1 tháng
Ảnh trước và sau buộc cơ nọng cằm


Trước
Sau 2 tháng
1. Loại bỏ triệt để đến tận lớp mỡ, mang lại đường viền hàm thon gọn và duy trì lâu dài.
Phẫu thuật buộc cơ nọng cằm tại AB, khi cần có thể loại bỏ cả mỡ dưới cơ platysma, giúp tạo đường viền hàm thon gọn và bền vững, không lo tái phát.Loại bỏ mỡ dưới da
đến cả mỡ dưới cơ platysma.

Cải thiện cơ dưới cằm bị chảy xệ bằng cách buộc cơ.

Ảnh trước và sau buộc cơ nọng cằm (cơ chảy xệ + loại bỏ mỡ)


Trước
Sau 2 tuần
Ảnh trước và sau buộc cơ nọng cằm (cơ chảy xệ + loại bỏ mỡ)


Trước
Sau 1 tháng
2. Sử dụng thiết bị hiện đại chuyên biệt để loại bỏ tuyến nước bọt, giúp phục hồi nhanh và cải thiện nọng cằm hiệu quả
Trong trường hợp nọng cằm xuất hiện do tuyến nước bọt phát triển quá mức, việc chỉ loại bỏ mỡ và xử lý cơ chảy xệ sẽ cho hiệu quả hạn chế.Vùng quanh tuyến nước bọt tập trung nhiều dây thần kinh và mạch máu, nên nguy cơ biến chứng cao. Tuy nhiên, tại AB, chúng tôi sử dụng thiết bị hiện đại chuyên biệt để phẫu thuật loại bỏ tuyến nước bọt giúp phẫu thuật an toàn hơn và mang lại hiệu quả nọng cằm tối ưu.
Thiết bị hiện đại chuyên biệt loại bỏ tuyến nước bọt

→ Giảm thiểu viêm và thúc đẩy quá trình lành thương
→ Cần quá trình cầm máu, kéo dài thời gian phẫu thuật
Nguồn: LigaSure-Assisted Submandibular Gland Excision in Deep-Plane Neck Lift: Review of 83 Patients. Plast. Reconstr. Surg. 155: 35, 2025.
+ Khoan đã! Vậy sự khác biệt giữa phẫu thuật buộc cơ nọng cằm và hút mỡ nọng cằm là gì?
Khi tuyến nước bọt phát triển quá mức và chảy xệ, việc chỉ buộc cơ nọng cằm có thể không mang lại hiệu quả tối ưu. Trong trường hợp này, cần loại bỏ tuyến nước bọt một cách an toàn sẽ giúp tối đa hóa hiệu quả cải thiện nọng cằm.Ảnh trước và sau buộc cơ nọng cằm
(cơ chảy xệ + loại bỏ mỡ + loại bỏ tuyến nước bọt)


Trước
Sau 1 tuần
Ảnh trước và sau buộc cơ nọng cằm
(cơ chảy xệ + loại bỏ mỡ + loại bỏ tuyến nước bọt)


Trước
Sau 1 tháng
3. Không nhìn thấy sẹo buộc cơ nọng cằm
Phẫu thuật buộc cơ nọng cằm được thực hiện qua một đường rạch ở dưới cằm, vị trí ít để lộ, nên vết sẹo hầu như không thấy khi nhìn trực diện.Nhìn từ góc chính diện không thấy sẹo
Sau 2 tuầnSẹo cắt rạch mờ dần



Trước
Sau 2 tuần
Sau 1 tháng
* Đây là hình ảnh thực tế quá trình lành sẹo sau phẫu thuật tại Bệnh viện Thẩm mỹ AB. Kết quả có thể khác nhau tùy cơ địa từng người.
+ Khoan đã! Vậy sự khác biệt giữa phẫu thuật buộc cơ nọng cằm và hút mỡ nọng cằm là gì?
Phẫu thuật buộc cơ nọng cằm không chỉ xử lý bề ngoài
mà còn nhắm vào nguyên nhân gốc rễ của nọng cằm, mang lại hiệu quả cải thiện rõ rệt.
Buộc cơ chảy xệ + loai bỏ mỡ nọng cằm
Hút mỡ nọng cằm đơn thuần
- Cố định cơ chảy xệ lại
- Loại bỏ mỡ dưới dà và mỡ dưới cơ
Chỉ loại bỏ mỡ dưới da
- Trường hợp dưới cằm có nhiều mỡ và cơ chảy xệ
- Trường hợp cần loại bỏ mỡ ở dưới cơ
Trường hợp chỉ có mỡ dưới cằm quá nhiều
Giải quyết cả mỡ và cơ chảy xệ, cải thiện từ gốc
Trường hợp cơ bị chảy xệ, hiệu quả cải thiện sẽ thấp
Trường hợp cơ bị chảy xệ, hiệu quả cải thiện sẽ thấp
Nguy cơ nọng cằm tái phát cao
ƯU ĐIỂM ĐẶC BIỆT CỦA AB
Buộc cơ nọng cằm, Tại sao chọn AB
1. Đội ngũ y bác sĩ chuyên trách nâng cơ, được chứng minh bằng tay nghề và kinh nghiệm
Tất cả các bác sĩ đều là chuyên khoa phẫu thuật thẩm mỹ và sở hữu tay nghề vững vàng.

2. Tổ chức hội thảo quốc tế về nâng cơ và căng da mặt
Dựa trên vô số kinh nghiệm lâm sàng và các nghiên cứu thực tế, AB thường xuyên tổ chức hội thảo quốc tế nhằm truyền đạt kỹ thuật nâng cơ và căng da mặt ra toàn thế giới.

3. Thực hiện phẫu thuật nâng cơ trực tiếp (Live Surgery) cho đội ngũ y bác sĩ trong và ngoài nước
Thông qua Hội nghị IFASS, AB tiến hành phẫu thuật nâng cơ, căng da trực tiếp (Live Surgery) dành cho các chuyên gia y tế trong và ngoài nước.

4. Hệ thống hợp tác y tế với các bệnh viện đại học và cơ sở tuyến trên
AB đã thiết lập mối quan hệ hợp tác khám chữa bệnh với các bệnh viện như Bệnh viện Đại học Seoul Bundang và Bệnh viện Hallym Dongtan Seongsim, nhằm đảm bảo bệnh nhân được phục vụ bởi hệ thống y tế tối ưu nhất

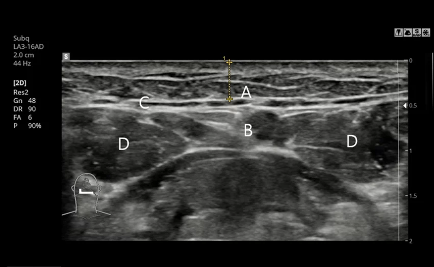
5. Chẩn đoán cá nhân hóa trước phẫu thuật bằng CT và siêu âm
Vị trí và kích thước của tuyến nước bọt được phân tích chính xác thông qua chụp CT và siêu âm. Khi cần, phẫu thuật loại bỏ tuyến nước bọt sẽ được tiến hành theo phương pháp tinh tế và phù hợp từng trường hợp.

6. Phẫu thuật loại bỏ tuyến nước bọt an toàn nhờ thiết bị hiện đại chuyên biệt
Khi cần loại bỏ tuyến nước bọt để cải thiện nọng cằm, AB sử dụng thiết bị hiện đại chuyên biệt, giúp phẫu thuật thực hiện chính xác, tinh tế và an toàn hơn.

7. Ghi chú tư vấn thiết kế độc quyền tại AB
Trước phẫu thuật, AB sử dụng ghi chú tư vấn thiết kế cá nhân hóa để lập kế hoạch và phương pháp phẫu thuật, từ đó hoàn thiện thiết kế riêng cho từng khách hàng.

* Ghi chú tư vấn thiết kế được lập trong quá trình tư vấn thực tế
8. Bệnh viện thẩm mỹ AB là nơi ngay cả nhân viên cũng tin tưởng
AB là nơi cả nhân viên lẫn gia đình họ đều có thể an tâm và tin tưởng, chứng minh trách nhiệm và sự an toàn tuyệt đối của bệnh viện.

1. Đội ngũ y bác sĩ chuyên trách nâng cơ, được chứng minh bằng tay nghề và kinh nghiệm
Tất cả các bác sĩ đều là chuyên khoa phẫu thuật thẩm mỹ và sở hữu tay nghề vững vàng.

2. Tổ chức hội thảo quốc tế về nâng cơ và căng da mặt
Dựa trên vô số kinh nghiệm lâm sàng và các nghiên cứu thực tế, AB thường xuyên tổ chức hội thảo quốc tế nhằm truyền đạt kỹ thuật nâng cơ và căng da mặt ra toàn thế giới.

3. Thực hiện phẫu thuật nâng cơ trực tiếp (Live Surgery) cho đội ngũ y bác sĩ trong và ngoài nước
Thông qua Hội nghị IFASS, AB tiến hành phẫu thuật nâng cơ, căng da trực tiếp (Live Surgery) dành cho các chuyên gia y tế trong và ngoài nước.

4. Hệ thống hợp tác y tế với các bệnh viện đại học và cơ sở tuyến trên
AB đã thiết lập mối quan hệ hợp tác khám chữa bệnh với các bệnh viện như Bệnh viện Đại học Seoul Bundang và Bệnh viện Hallym Dongtan Seongsim, nhằm đảm bảo bệnh nhân được phục vụ bởi hệ thống y tế tối ưu nhất

5. Chẩn đoán cá nhân hóa trước phẫu thuật bằng CT và siêu âm
Vị trí và kích thước của tuyến nước bọt được phân tích chính xác thông qua chụp CT và siêu âm. Khi cần, phẫu thuật loại bỏ tuyến nước bọt sẽ được tiến hành theo phương pháp tinh tế và phù hợp từng trường hợp.

6. Phẫu thuật loại bỏ tuyến nước bọt an toàn nhờ thiết bị hiện đại chuyên biệt
Khi cần loại bỏ tuyến nước bọt để cải thiện nọng cằm, AB sử dụng thiết bị hiện đại chuyên biệt, giúp phẫu thuật thực hiện chính xác, tinh tế và an toàn hơn.

7. Ghi chú tư vấn thiết kế độc quyền tại AB
Trước phẫu thuật, AB sử dụng ghi chú tư vấn thiết kế cá nhân hóa để lập kế hoạch và phương pháp phẫu thuật, từ đó hoàn thiện thiết kế riêng cho từng khách hàng.

* Ghi chú tư vấn thiết kế được lập trong quá trình tư vấn thực tế
8. Bệnh viện thẩm mỹ AB là nơi ngay cả nhân viên cũng tin tưởng
AB là nơi cả nhân viên lẫn gia đình họ đều có thể an tâm và tin tưởng, chứng minh trách nhiệm và sự an toàn tuyệt đối của bệnh viện.

HỆ THỐNG CHẨN ĐOÁN VÀ CHĂM SÓC CÁ NHÂN HÓA ĐỘC QUYỀN TẠI AB
Từ buổi tư vấn đến quá trình phục hồi, đội ngũ y bác sĩ chuyên trách sẽ đồng hành 1:1, đảm bảo trách nhiệm và chăm sóc tận tâm đến cùng.
1. Tư vấn 1:1 cá nhân hóa bởi bác sĩ phụ trách riêng

2. Phẫu thuật trực tiếp do bác sĩ phụ trách thực hiện

3. Theo dõi sát sao bởi bác sĩ gây mê chuyên môn

4. Chăm sóc cá nhân hóa bởi chuyên viên tư vấn phụ trách

5. Kiểm tra tiến trình bởi bác sĩ phụ trách và chăm sóc hậu phẫu 1:1

THÔNG TIN PHẪU THUẬT BUỘC CƠ NỌNG CẰM
INFORMATION SURGERY
Thông tin phẫu thuật
Thời gian phẫu thuật
1 giờ
Phương pháp gây mê
Gây mê ngủ
Đến viện điều trị
1 lần
Thời gian hồi phục
2–3 ngày
RECOMMEND SURGERY
Đối tượng khuyến nghị phẫu thuật
Trường hợp da chảy xệ và có nọng cằm sau khi phẫu thuật xương hàm mặt
Trường hợp không đạt hiệu quả với laser hoặc các phương pháp tiêm/điều trị khác
Trường hợp nọng cằm vẫn tồn tại dù đã giảm cân
Trường hợp đường viền giữa cằm và cổ không rõ ràng
Trường hợp cằm ngắn về mặt cấu trúc gây nọng cằm
Trường hợp da chảy xệ, cơ bị giãn do lão hóa
Trường hợp muốn loại bỏ nọng cằm vĩnh viễn mà không tái phát
ẢNH TRƯỚC VÀ SAU KHI CĂNG DA CỔ
Căng da toàn mặt + Căng da trán nội soi + Căng da cổ + Hút mỡ nọng cằm buộc cơ nọng cằm+ Hút mỡ bóc túi mỡ má + Cấy mỡ tự thân + Cắt mí trẻ hóa mí trên
Safety system
Through the establishment of various safety management systems, patients can undergo surgery more safely.

Full-time Anesthesiologist
An anesthesiology specialist monitors the patient in real-time during surgery and performs double and triple checks through a central monitoring system.

Real-time Monitoring During the Anesthesia
The entire process of the surgery, including pre-, during, and post-surgical procedures, is managed in real-time with a full-time anesthesiologist.

Safe Medical Examination Before Surgery
For safer surgery, we have established an in-hospital examination system. This allows us to perform a comprehensive pre-operative examination.

Highest Standard Safety Equipment
Through the establishment of various safety management systems, we ensure that patients can undergo surgery safely and with peace of mind.
NHỮNG CÂU HỎI THƯỜNG GẶP VỀ NÂNG CƠ
20–30 tuổi: Khuyến nghị các phương pháp nâng cơ không xâm lấn như laser tần số cao, filler, botox. 30–40 tuổi: Có thể áp dụng các phương pháp không xâm lấn như ở 20–30 tuổi, kết hợp phẫu thuật nhẹ như căng da bằng chỉ hoặc căng da bán phần (semi-full facelift). Trên 40 tuổi: Thường khuyến nghị phẫu thuật nâng cơ mặt như căng da toàn phần hoặc bán phần, tùy mức độ, thay vì chỉ dùng tiêm hoặc các phương pháp không xâm lấn.




























